¿Cuántos de nosotros conservamos en boca restauraciones de amalgama que llevan ahí muchos más años de los que podemos recordar? Puede ser que nos hayamos preguntado ¿será tiempo de cambiarlas? O también algunos otros hemos escuchado cosas negativas acerca del mercurio que contienen y que se almacena o daña distintas partes del cuerpo, o puede ser que comenzamos a notar zonas obscuras en los dientes con amalgama, la gran mayoría no sabemos en qué estado están esas amalgamas y es de importancia saberlo, continúa leyendo que yo te explico un poco más del tema.

Las amalgamas son un tratamiento utilizado por los dentistas donde después de remover la caries, el espacio es ocupado por un material plateado cuya estructura es una combinación de 50% metales como plata, cobre y estaño y otro 50% de mercurio, entre algunas de sus ventajas están las siguientes: costo accesible, gran durabilidad, tratamiento rápido.
Por otra parte, algunas de las desventajas son, resultados no estéticos por lo que su uso no está indicado en dientes anteriores, el odontólogo debe realizar cavidades más grandes para que la amalgama quede retenida, además el uso de mercurio en las amalgamas ha sido duramente castigado y tachado como malo para la salud del ser humano, lo relacionan desde problemas a los tejidos como lesiones liquenoides hasta esclerosis múltiple, Alzheimer, Parkinson, entre otras. Aunque la mayoría de los estudios no son suficientes para demostrar estas correlaciones, se han detectado cantidades de mercurio en la saliva de los pacientes con una o más amalgamas y una correlación de estas con la presencia de enfermedad periodontal. Por cuestiones preventivas se ha restringido su uso en algunas partes como en Estados Unidos.

Entonces, podrás pensar. Si no hacen daño a mi cuerpo y son duraderas, ¿por qué cambiarlas? Antes que cualquier cosa debo decirte que eso la mayoría de las veces lo decide tu odontólogo, déjalo en sus manos, acude a una revisión periódica y coméntale tu inquietud acerca del tema.
Muchas veces las amalgamas en mal estado pueden significar un riesgo a fracturas dentales que terminan en pérdida del diente y esto depende de muchas cosas, por ejemplo, sellado de su contorno, si están desajustadas, fracturadas, muy extensas, con corrosión, etc. ¿Conoces a alguien que le ha pasado?

Una vez que tu odontólogo ha realizado tu valoración, puede determinar en ciertos casos que estas permanezcan un tiempo más en boca, casos como amalgamas muy pequeñas, bien ajustadas y pulidas, en cambio, si ya están desajustadas y son un riesgo mantenerlas, es momento del cambio. Otro motivo para cambiarlas es mejorar la estética.
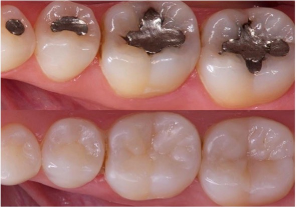
Cuando una amalgama es removida, una cavidad extensa se observa y la cantidad de diente remanente puede ser mínima, por lo que tu dentista tomará la decisión de realizarte una restauración cerámica o una resina (biocomposite), cualquiera de las elecciones tiene muchas otras ventajas como, estética, que refuerzan al diente, previenen de posibles fracturas y su durabilidad también es muy buena. No temas al cambio, pero siempre de la mano de profesionistas.
Y tú ¿ya has hecho revisión de tus amalgamas? Ven con los especialistas en el cuidado de los dientes.

BIBLIOGRAFÍA:
- Correa, M. B., Peres, M. A., Peres, K. G., Horta, B. L., Barros, A. D., & Demarco, F. F. (2012). Amalgam or composite resin? Factors influencing the choice of restorative material. Journal of Dentistry, 40(9), 703–710.
- Jirau-Colón, H., González-Parrilla, L., Martinez-Jiménez, J., Adam, W., & Jiménez-Velez, B. (2019). Rethinking the Dental Amalgam Dilemma: An Integrated Toxicological Approach. International Journal of Environmental Research and Public Health, 16(6), 1036.
- Pant, V., Rathore, M., & Singh, A. (2012). The dental amalgam toxicity fear: A myth or actuality. Toxicology International, 19(2), 81. doi:10.4103/0971-6580.97191
- Bjørklund, G., Dadar, M., Mutter, J., & Aaseth, J. (2017). The toxicology of mercury: Current research and emerging trends. Environmental Research, 159, 545–554. 2017.08.051
- Gallusi, G., Libonati, A., Piro, M., Di Taranto, V., Montemurro, E., & Campanella, V. (2021). Is Dental Amalgam a Higher Risk Factor rather than Resin-Based Restorations for Systemic Conditions? A Systematic Review. Materials, 14(8), 1980.
