Transforma tu sonrisa, transforma tu vida
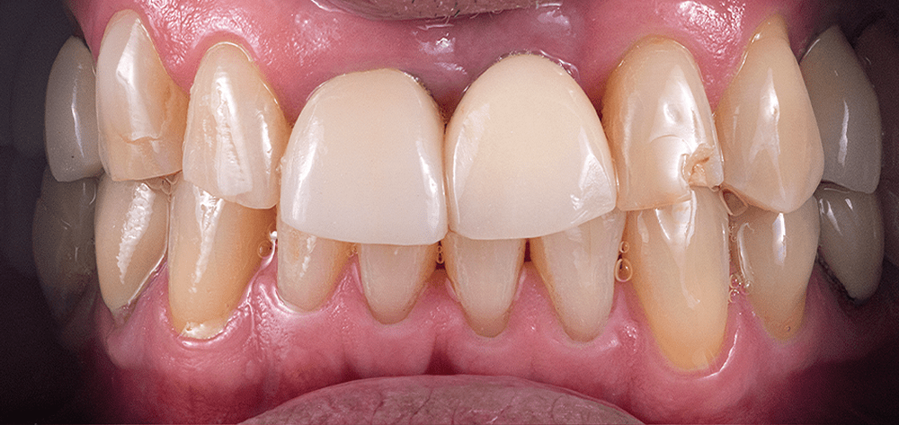
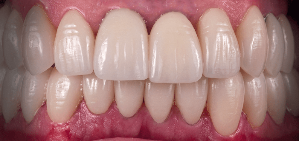
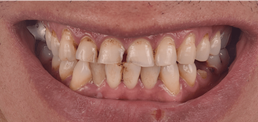
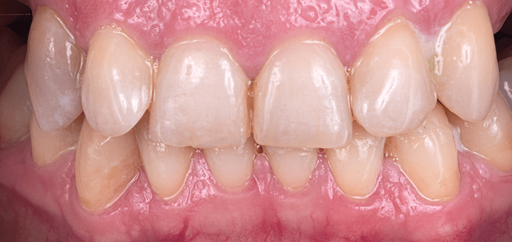
¿Te gustaría una sonrisa perfecta que refleje seguridad y belleza? El diseño de sonrisa es la solución ideal para lograr una apariencia armónica y natural.
En EDC, combinamos tecnología avanzada y personalización para crear la sonrisa que siempre has soñado.
Al realizar tu Diseño de Sonrisa obtendrás:
- Impacta con una sonrisa radiante y armoniosa
- Presume dientes perfectamente alineados y simétricos
- Elimina manchas e imperfecciones de forma visible
- Aumenta de inmediato tu seguridad al sonreír
- Disfruta de resultados naturales y totalmente personalizados
- Rejuvenece tu apariencia sin cirugías
- Disfruta de una sonrisa envidiable y 100% instagrameable
Escaneo Digital 3D
Contamos con tecnología de escaneo digital de última generación, eliminando las molestas impresiones tradicionales.
Con nuestros equipos avanzados, obtenemos imágenes precisas y en alta resolución, permitiendo diagnósticos más exactos y tratamientos personalizados. Más rápido, sin incomodidad y con resultados perfectos.
Tu nueva sonrisa, en 3 pasos
Descubre lo fácil que es transformar tu sonrisa con un plan personalizado y resultados que puedes ver antes de comenzar.
Agenda tu valoración
Te escuchamos, evaluamos tu sonrisa y entendemos qué deseas mejorar.
Visualiza el resultado
Tomamos fotos y te mostramos cómo se verá tu sonrisa final.
Luce tu nueva sonrisa
Realizamos el tratamiento y te vas con la sonrisa que siempre soñaste.
ESCUCHA A NUESTROS PACIENTES
¿Cómo será tu primera cita?
Un nuevo concepto en odontología:
Relájate, disfruta y sonríe



















Desde el momento en que entras a EDC, te envuelve una sensación de tranquilidad. Todo —la iluminación, los aromas, la música— está pensado para que te sientas en un spa, no en una clínica dental. Nuestro equipo te recibe con calidez y atención personalizada desde el primer instante.
Aquí, la odontología se vive diferente. Con tecnología avanzada, te mostramos cómo lucirá tu sonrisa antes de empezar. El tratamiento es cómodo, sin dolor y sin el estrés de lo tradicional. Descubrirás que diseñar tu sonrisa puede ser una experiencia relajante, emocionante y transformadora.
"No sabía que un diseño de sonrisa me podía cambiar tanto y no solamente mis dientes. Ver cómo quedaría mi sonrisa antes de empezar me dio confianza. Fue cómodo, sin dolor y el resultado superó todo lo que esperaba."
¿QUIÉNES SOMOS?
Somos dentistas con experiencia internacional y especializados en odontología estética e integral. Desde hace 5 años nos enorgullecemos de trabajar con los mejores dentistas en querétaro para ofrecer la mejor atención, usando tecnología de punta para eliminar las largas horas de espera, volver a un sin fín de consultas y ajustes lentos que todos odian.
Contamos con los mejores especialistas en Ortodoncia, Carillas, Implantes y Blanqueamiento dental.
¡Estamos comprometidos a darte la sonrisa que siempre has querido! De hecho, muchas de las sonrisas más bellas de la industria del entretenimiento en México y Estados Unidos han salido de nuestro consultorio.
– Dra. Iveth Ramírez & Dr. Johan Figueira.
¿Por qué EDC?
Por qué nuestros pacientes prefieren venir a Esthetic Dental Center
¿qué opinan nuestros pacientes?
Servicio Cinco Estrellas
7 Años Creando los Mejores Diseños de Sonrisa en Querétaro
Decenas de pacientes confirman nuestra calidad y atención excepcional.
En EDC recibirás un servicio de alto nivel que garantiza comodidad, confianza y resultados sorprendentes.
Estas son algunas opiniones de nuestros pacientes:
Esthetic Dental Center - Dentistas en Querétaro
interior 15-2, Blvd. Bernardo Quintana Arrioja 15, Bosques del Acueducto, Santiago de Querétaro
4.7 243 reviews
-
Allen Soutod ★★★★★ en la última semana
Fascinado con la atención del personal, las instalaciones y todo el servicio en general.
Desde el inicio … More el trato es impecable hasta el finalizar la cita.
Muy satisfecho hasta el momento con todo. -
santiago castillo ★★★★★ en la última semana
Súper atención, profesional y humanos, siempre en pro de paciente en todos los niveles lo
Una gran experiencia … More y satisfacción -
Arter Mena ★★★★★ en la última semana
Me atendieron muy bien!
Preguntas Frecuentes
Es un tratamiento personalizado que mejora la estética dental alineando, aclarando y armonizando dientes, encías y labios para lograr una sonrisa más atractiva y equilibrada.
No. La mayoría de los procedimientos del diseño de sonrisa son mínimamente invasivos y se realizan con técnicas modernas que reducen al máximo molestias o dolor.
Depende del tipo de tratamiento necesario, pero muchos diseños pueden lograrse en solo dos o tres citas. Algunos pacientes se van con su diseño de sonrisa terminado en un solo día con nuestro tratamiento exprés.
¡No! El diseño de sonrisa está pensado precisamente para corregir imperfecciones como manchas, desgaste, asimetrías o malposición dental de forma personalizada.
Incluye una valoración completa, fotografías, simulación digital, limpieza profunda y, según el caso, se pueden dar los servicios adicionales de ortodoncia estética o contorneado gingival.
Sí. Todos los tratamientos son personalizados para respetar tu forma facial, tono de piel y estilo personal, logrando un resultado natural, armónico y estético.
El precio varía según el caso y los tratamientos necesarios. Por eso ofrecemos una valoración inicial donde te damos un plan detallado y personalizado.
Contáctanos
Atendemos y resolvemos correos dentro de nuestro horario de atención.
