Un tema muy importante en odontología estética y que Genera confusión y desconocimiento entre los pacientes, son las indeseadas manchas que podemos llegar a presentar en algún momento de nuestras vidas, es importante que el paciente conozca los tipos de manchas y sus tratamientos que en muchos casos no son invasivos (como el Blanqueamiento Dental), así mismo; de acuerdo a la mancha existen diversas alternativas de tratamiento para corregirlas (Depende de su causa), en Esthetic Dental Center te orientaremos de manera personalizada y efectiva de la mano con la ciencia.
Los dientes están constituidos por cuatro tejidos especializados, ellos son: Esmalte, dentina, pulpa y cemento radicular. El esmalte es el tejido más duro del cuerpo humano, el más externo y que se expone a simple vista, por ello es el principal tejido afectado por las manchas.
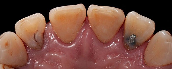
Las manchas dentales pueden tener diversos orígenes: intrínsecas (internas) y extrínsecas (externas) y pueden tener distintos tamaños, formas, coloración y localización.
Extrínsecas: En este caso hay que hablar de diversos alimentos tales como el café, vino, jugo de frutas, de igual forma que sucede con el habito de tabaco, pastas dentales con carbón activo y finalmente no olvidarnos de una mala higiene.

Intrínsecas: Estas puede ser causadas por una amplia variedad de diversos factores, tales como la genética, edad, medicamentos, ambientales y/o accidentes dentales. Siendo los antibióticos que contienen tetraciclinas consumidos durante el embarazo y en pacientes infantiles en etapas de crecimiento uno de los mejores ejemplos, así mismo el exceso de cantidades de fluoruro en el agua, dando origen a lo que se le conoce como fluorosis dental en donde se aprecian grandes manchas marrones en la superficie del diente
Otras casusas son: Caries, Dientes con Tratamiento de conductos, Fracturas dentales y Hipersensibilidad dental.
Hay una gran diversidad de manchas dentales, las que anteriormente hemos mencionado son las mas comunes, pero es muy importante saber que el problema podría estar en un plano mas profundo, es decir en el segundo tejido dental, la dentina; como por ejemplo la dentinogenesis imperfecta (el tratamiento ideal en este caso son Carillas Cerámicas), es por ello que debes acudir a los profesionales para brindarte un tratamiento apropiado.
El pronóstico es muy sencillo en el caso de las manchas extrínsecas (superficiales).
En Esthetic dental center contamos con diferentes tratamientos (desde limpiezas profundas hasta blanqueamientos) para tratar manchas dentales. Sin embargo, lo mas novedoso a nivel mundial para el tratamiento de manchas es TECNOLOGIA CONTACLESS (SIN CONTACTO)
Esto consta de utilizar un chorro de Bicarbonato de Sodio, para :
Eliminar manchas
Disminuir Hipersensibilidad dental
Remover Placa dental
Pulido antes del blanqueamiento dental
La eliminación de las manchas intrínsecas (interna) podría resultar más difícil o tardar más tiempo; por eso te recomendamos asistir con tu especialista para valorar y darte la mejor opción para tu sonrisa.
