DENTAL IMPLANTS
Restore your smile with dental implants permanent
Have you lost one or several teeth?
This can affect not only your smile, but also your way of eating, talking, and feel yourself.
With time, the loss of the teeth can cause damage to your oral health.
The teeth move, the bone is reabsorbed and your self-confidence diminishes without you realizing.
With dental implants, you recover your smile and your quality of life.
They are comfortable, durable and look like natural teeth. Eat, smile and speak with confidence again.
Recover much more than your smile with your dental implants
- Retrieves the natural function for eating with security
- Improve your pronunciation and way of speaking
- Prevents your teeth to move or wear out
- Forget about removable dentures uncomfortable
- Enjoy a fixed solution, stable and durable
- Choose an aesthetic option that looks like a natural tooth
- Feel the freedom of living without worrying about your smile
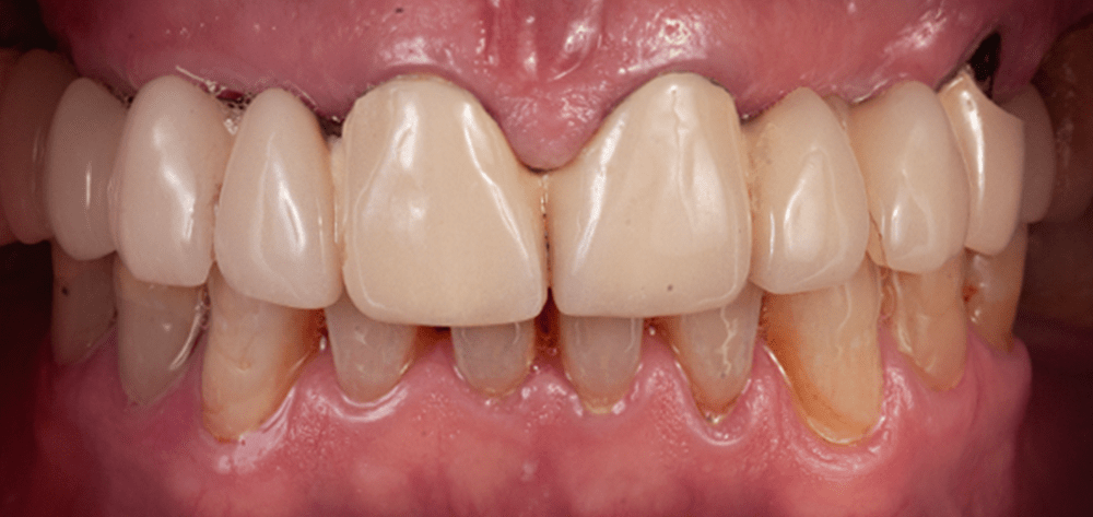
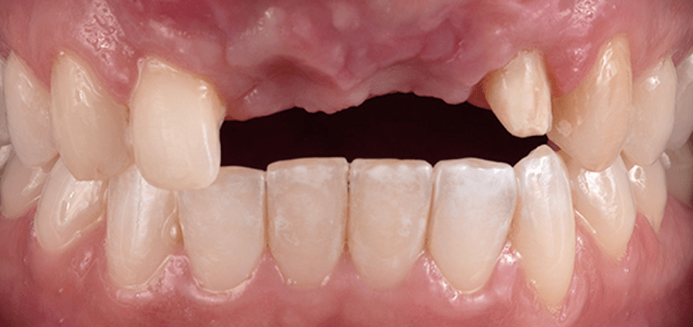
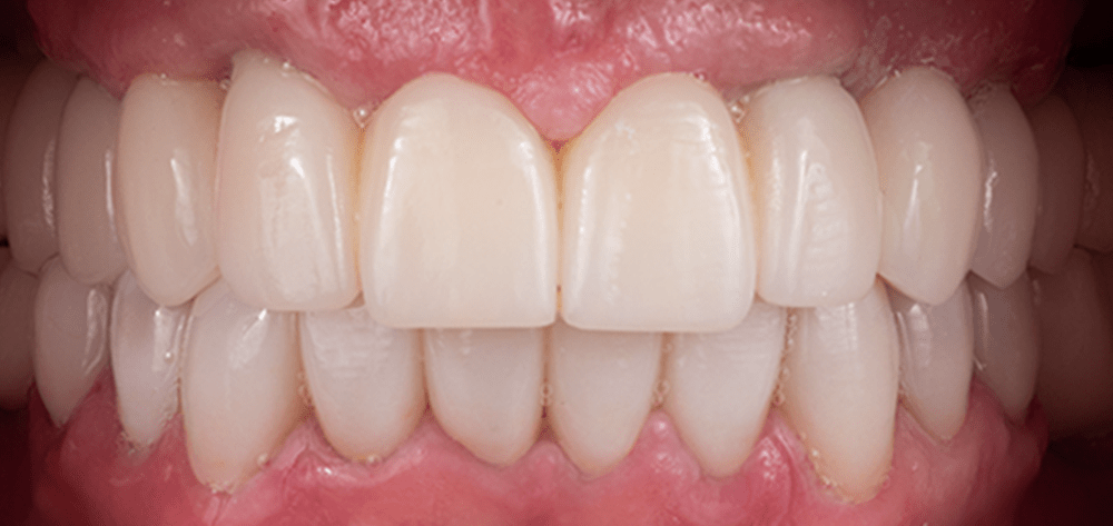
BEFORE AND AFTER
Watch the success stories of our patients with their dental implants in Queretaro
Recover your smile in 3 steps
Discover how easy it is to go back to eat, speak and smile with confidence.
Agenda tu cita de valoración
We evaluate your oral health, we take x-rays, and discuss if implants are ideal for you.
We design your treatment
We create a personalized plan with digital technology to ensure precision, comfort and long-lasting results.
Place your implant
Realizamos el procedimiento libre de molestias. En poco tiempo, disfrutarás de una sonrisa firme, funcional y natural.
LISTENING TO OUR PATIENTS
A new concept in dentistry:
Relax, enjoy and smile



















From the moment you walk into EDC, envelops you in a sensation of peace of mind. Everything —the lighting, the smells, the music— is designed to make you sit in a spa, not a dental clinic. Our team welcomes you with warmth, listen to your needs and accompanies you step-by-step with personalized attention.
Here, regain your smile with dental implants is a different experience. We use advanced technology to plan every detail with accuracy and show you how it'll look the end result before you start. The procedure is comfortable, without pain, and is intended to allow you to recover not only your teeth, but also your safety when you smile, eat, and live with freedom.
“I didn't know that the dental implants I return both more than my teeth. From the first appointment I felt confidence. Everything was comfortable, without pain, and now I can smile, speak and eat with freedom. The result exceeded all that I imagined.”
This is how your first appointment will look like
WHO ARE WE?
We are dentists with international experience and specialized in cosmetic dentistry and comprehensive. Since 5 years we are proud to be working with the best dentists in querétaro to provide the best care, using cutting-edge technology to eliminate the long hours of waiting, the return to an endless number of consultations and adjustments slow all hate.
We have the bestit is specialists in Orthodontics, Veneers, Implants and Teeth whitening.
We are engagesy to give you the smile you've always wanted! In fact, many of the smiles the most beautiful of the entertainment industry in Mexico and the united States have gone out of our office.
– Dr. Iveth Ramirez & Dr. Johan Figueira.
what our patients think about us?
Five-Star Service
6 Years of Creating Smiles with Dental Implants in Queretaro
Dozens of patients to confirm our quality and exceptional care.
EDC you will receive a high level of service that ensures comfort, confidence and amazing results.
These are some views of our patients:
Esthetic Dental Center - Dentist in Queretaro
interior 15-2, Blvd. Bernardo Quintana Arrioja 15, Bosques del Acueducto, Santiago de Querétaro
4.7 246 reviews
-
edgar baeza ★★★★★ en la última semana
Excelente servicio, muy amables y profesionales -
Lilia Brooks ★★★★★ en la última semana
Excellent experience at Esthetic Dental Center - Dentistas en Querétaro. The staff was professional, ... More welcoming, and attentive throughout the entire process. The clinic is modern, clean, and very well organized. The dentists took time to explain everything clearly and provided outstanding care with great attention to detail. I highly recommend this clinic to anyone seeking high-quality dental care in Querétaro. -
MoMo Brooks ★★★★★ en la última semana
I had an outstanding experience at Esthetic Dental Center in Querétaro. From the moment I walked in, ... More the staff was welcoming, professional, and attentive. The clinic is modern, spotless, and equipped with advanced technology, which immediately made me feel comfortable and confident in the care I was receiving.
The dentists took the time to explain every step of the treatment process and answered all of my questions with patience and honesty. Their attention to detail and commitment to patient comfort truly set them apart. I was especially impressed by how gentle and thorough they were throughout the procedure.
If you are looking for high-quality dental care in Querétaro, I highly recommend Esthetic Dental Center. Exceptional service, excellent results, and a team that genuinely cares about their patients!
Why EDC?
Por qué nuestros pacientes prefieren venir a Esthetic Dental Center
Having a beautiful smile is easier than ever
We have payment facilities and Months Without Interest
Frequently Asked Questions
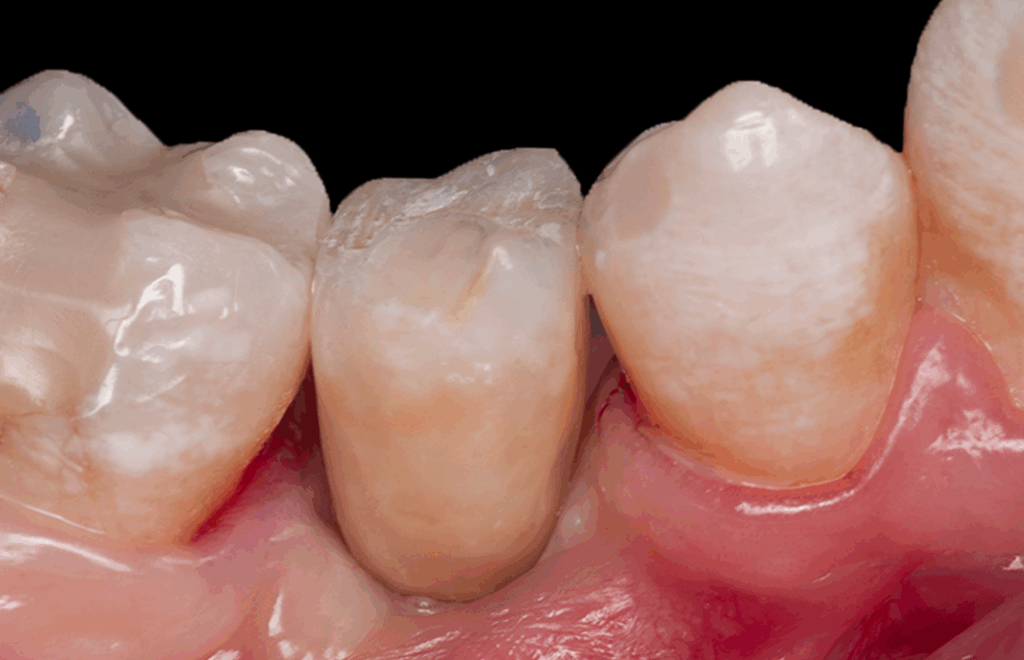
It is an artificial root made of titanium that is placed into the jaw bone to replace a missing tooth. It works as a base for a crown, bridge, or fixed prosthesis.
No. The procedure is performed with local anesthesia, and many times it is more comfortable than a dental extraction. The recovery is typically fast and with minimal discomfort.
With good care, an implant can last for decades or even a lifetime. Solution is a reliable and durable.
In general, yes. You just need to have good oral health and bone. If there is bone loss, can be made grafts to make it viable treatment.
It depends on the case. In some, are placed implants and temporary teeth the same day. In others, they require 3 to 6 months for the complete integration.
Yes. Once the treatment is finished, you'll be able to eat with confidence and without restrictions, just like with your natural teeth.
Proper hygiene, regular visits to the dentist and avoiding smoking are key to maintaining your implant is in good condition for many years.
Contact us
Serve, and we resolve to emails within our business hours.
