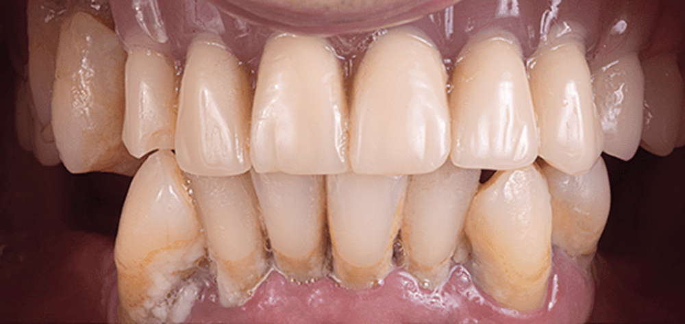
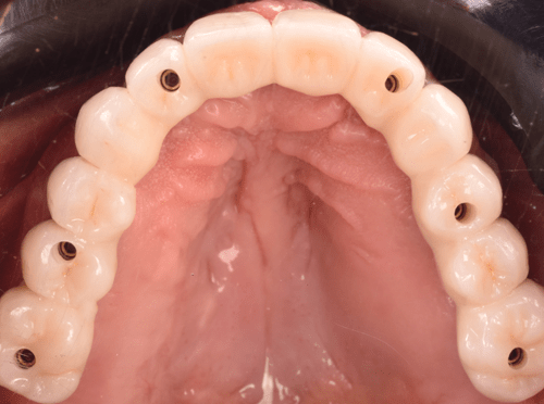
ALL-ON-X IMPLANTS
Recover your smile fixed in a single day
Can you imagine back to smiling, eating and speaking with total confidence? If you have lost several teeth or you wear removable dentures, implants All-on-X are the solution you were looking for.
At EDC, we use advanced technology to provide you a smile fixed, natural and functional in record time.
Al realizar tus Implantes all-on-x
- Recupera toda tu sonrisa en un solo procedimiento
- Disfruta de dientes fijos y estables desde el primer día
- Mejora tu masticación y habla de forma inmediata
- Evita el uso de prótesis removibles incómodas
- Restaura la función completa de tu boca con menos implantes
- Rejuvenece tu rostro al recuperar el soporte natural
- Aumenta tu confianza al hablar, reír y comer sin miedo
BEFORE AND AFTER
Watch the success stories of our patients with their implants all-on-X in Queretaro
Your new smile, in 3 easy steps
Discover how easy it is to transform your smile with a custom plan and results that you can see before you begin.
Make your appointment
Evaluamos tu caso, tomamos estudios 3D y diseñamos un plan personalizado para ti.
Fijamos tus implantes
En una sola cita, colocamos los implantes y tu sonrisa provisional inmediata.
Estrena tu sonrisa
Colocamos tu prótesis final: cómoda, fija y de apariencia 100% estética y natural.
LISTENING TO OUR PATIENTS
This is how your first appointment will look like
WHO ARE WE?
We are dentists with international experience and specialized in cosmetic dentistry and comprehensive. Since 5 years we are proud to be working with the best dentists in querétaro to provide the best care, using cutting-edge technology to eliminate the long hours of waiting, the return to an endless number of consultations and adjustments slow all hate.
We have the bestit is specialists in Orthodontics, Veneers, Implants and Teeth whitening.
We are engagesy to give you the smile you've always wanted! In fact, many of the smiles the most beautiful of the entertainment industry in Mexico and the united States have gone out of our office.
– Dr. Iveth Ramirez & Dr. Johan Figueira.
what our patients think about us?
Five-Star Service
6 Years, Making him Smile with Implants All-on-X in Queretaro
Dozens of patients to confirm our quality and exceptional care.
EDC you will receive a high level of service that ensures comfort, confidence and amazing results.
These are some views of our patients:
Esthetic Dental Center - Dentist in Queretaro
interior 15-2, Blvd. Bernardo Quintana Arrioja 15, Bosques del Acueducto, Santiago de Querétaro
4.8 224 reviews
-
Alexis Y ★★★★★ en la última semana
-
Monica Morella ★★★★★ A week ago
Excelente servicio y muy buenos profesionales -
Eymi Ramos ★★★★★ A week ago
Why EDC?
Por qué nuestros pacientes prefieren venir a Esthetic Dental Center
Having a beautiful smile is easier than ever
We have payment facilities and Months Without Interest
Frequently Asked Questions
Is an advanced technique that uses between 4 and 6 dental implants to support a fixed prosthesis complete, restoring all the smile of a stable and natural.
It is ideal for people who have lost most or all of their teeth, or that use removable dentures and looking for a solution that fixed and durable.
The procedure is performed under local anesthesia or sedation concsiente, so you will not feel pain during the surgery. The further discomfort are minimal and are controlled with medications
With proper care, implants can last a lifetime, offering a solution for reliable and long-lasting.
The treatment All-on-X is designed to maximize the use of available bone, even in cases of significant bone loss, reducing the need for grafts.
Care as natural teeth: brushing, flossing and regular visits to the dentist to keep them in optimal condition.
Yes, All-on-X offers stability, comfort and a more natural appearance that the removable prosthesis, without the risk of travel.
Contact us
Serve, and we resolve to emails within our business hours.
